دانش روز و نگاه هنرمندانه، راز لبخند بی‌ همتای شما است

دکتر منصوره همتیان
دندانپزشک متخصص
نظام پزشکی: 105827

مقدمه

دکتر منصوره همتیان، دندانپزشک متعهد و با تجربه، با بیش از بیست سال فعالیت تخصصی در زمینه درمان‌های دندانپزشکی زیبایی و ترمیمی، همواره با هدف بهبود سلامت دهان و دندان بیماران و ارتقاء زیبایی لبخند آن‌ها، در حال خدمت‌رسانی است.

صلاحیت و تخصص

ایشان فارغ‌التحصیل سال 1383 از دانشگاه علوم پزشکی مشهد بوده و با بهره‌گیری از دانش روز دنیا و تکنولوژی‌های مدرن، درمان‌هایی دقیق، بی‌درد و اثربخش را ارائه می‌دهند.

روش کار

دکتر همتیان با برخوردی صمیمانه، محیطی آرام و استاندارد را برای بیماران خود فراهم کرده تا تجربه‌ای مطمئن و خوشایند از مراجعه به دندانپزشک داشته باشند.

افتخارات علمی و تخصصی دکتر همتیان

گواهینامه کارشناسی دندانپزشکی

دکتر دندانپزشک

دانشگاه علوم پزشکی مشهد

1383
گواهینامه تخصصی زیبایی

متخصص زیبایی دندان

انجمن دندانپزشکان

1395
گواهینامه ایمپلنت

دوره تخصص ایمپلنت

انجمن دندانپزشکان

1398
گواهینامه بین‌المللی

گواهینامه بین‌المللی

انجمن دندانپزشکی جهان

1394

همه چیز برای لبخندت، همین‌ جاست

ایمپلنت دندان

جایگزینی دندان‌های از دست رفته با ایمپلنت‌های مدرن و بادوام

  • ایمپلنت کره‌ای
  • ایمپلنت سوئیسی
  • ایمپلنت آلمانی

ارتودنسی دندان ها

اصلاح موقعیت دندان‌ها و بهبود زیبایی لبخند با ارتودنسی

  • ارتودنسی نامرئی
  • ارتودنسی متحرک
  • ارتودنسی ثابت

پروتز و لمینیت دندان

ترمیم، زیبایی و بازسازی دندانهای از دست رفته

  • لمینیت
  • روکش و بریج
  • پروتز کامل و متحرک

سفید کردن دندان

سفید کردن دندان‌ها یا بلیچینگ با بهترین روش‌های روز دنیا و نتیجه فوری

  • نتیجه فوری
  • عاری از حساسیت
  • محافظت از مینا

درمان ریشه

درمان تخصصی ریشه دندان با استفاده از تجهیزات پیشرفته و بدون درد

  • بدون درد
  • تجهیزات مدرن
  • نتیجه دائمی

مشاوره و راهنمایی

مشاوره تخصصی برای انتخاب بهترین روش درمانی برای هر بیمار

  • مشاوره رایگان
  • برنامه درمانی
  • تخمین هزینه

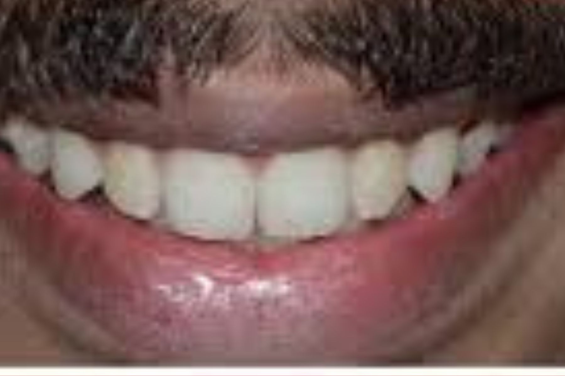
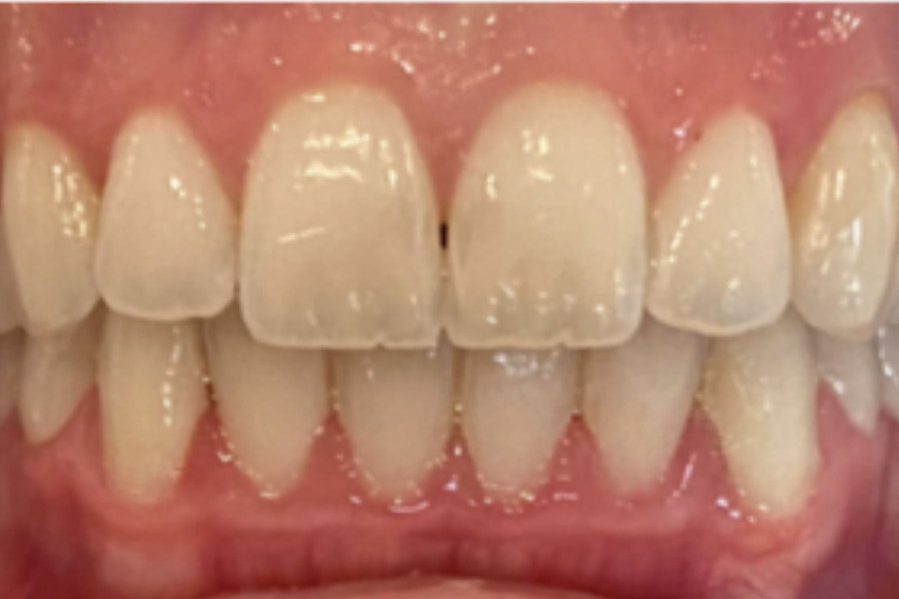
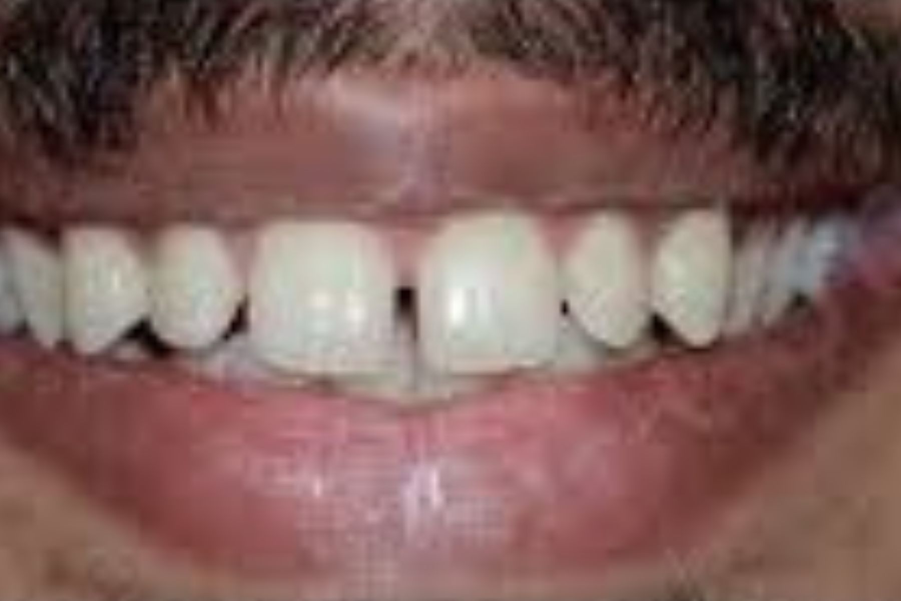
تحول لبخند ها در قاب تصویر

جلوه‌ای از تلفیق ذوق و تخصص دکتر همتیان

قبل از درمان بعد از درمان
قبل بعد
زیبایی

ترمیم کامپوزیت قدامی

بازسازی دندان‌های قدامی با کامپوزیت

2 جلسه ارزان
قبل از ایمپلنت بعد از ایمپلنت
قبل بعد
ایمپلنت

ایمپلنت دندان جلو

جایگزینی دندان از دست رفته با ایمپلنت

4 ماه متوسط
قبل از سفید کردن بعد از سفید کردن
قبل بعد
سفید کردن

سفید کردن دندان‌ها

سفید کردن کامل دندان‌های بالا و پایین

1 جلسه سریع
قبل از ارتودنسی بعد از ارتودنسی
قبل بعد
ارتودنسی

ارتودنسی نامرئی

اصلاح نامرئی دندان‌های نامرتب با ارتودنسی پیشرفته

18 ماه تخصصی
قبل از ونیر بعد از ونیر
قبل بعد
ونیر و لمینیت

ونیر کامپوزیت

پوشش زیبایی دندان‌های جلو با ونیر کامپوزیت

3 جلسه متوسط
قبل از درمان ریشه بعد از درمان ریشه
قبل بعد
درمان ریشه

درمان ریشه

درمان ریشه دندان پیشرفته

1 ماه تخصصی
قبل از درمان بعد از درمان
قبل بعد

برای مشاوره و ثبت نوبت با ما در تماس باشید